CASE
症例紹介

-
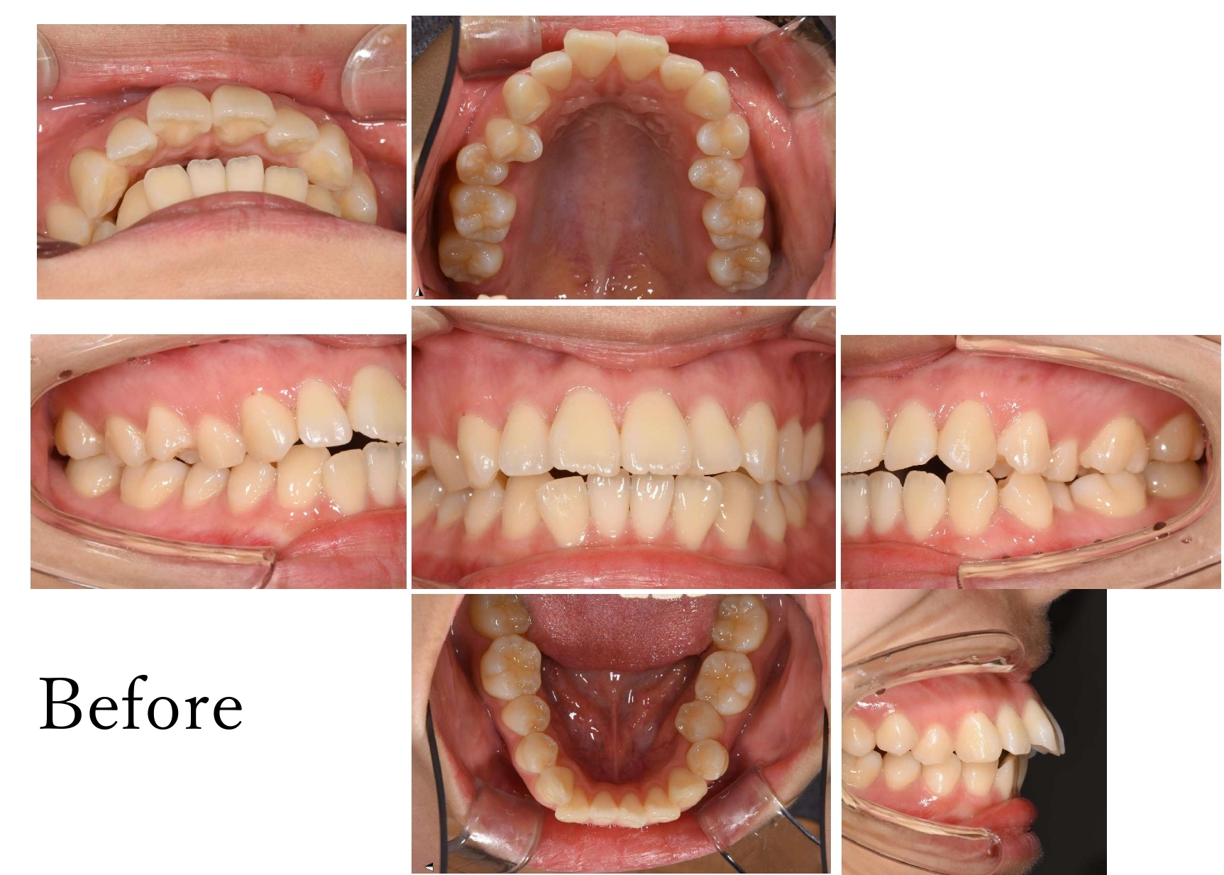
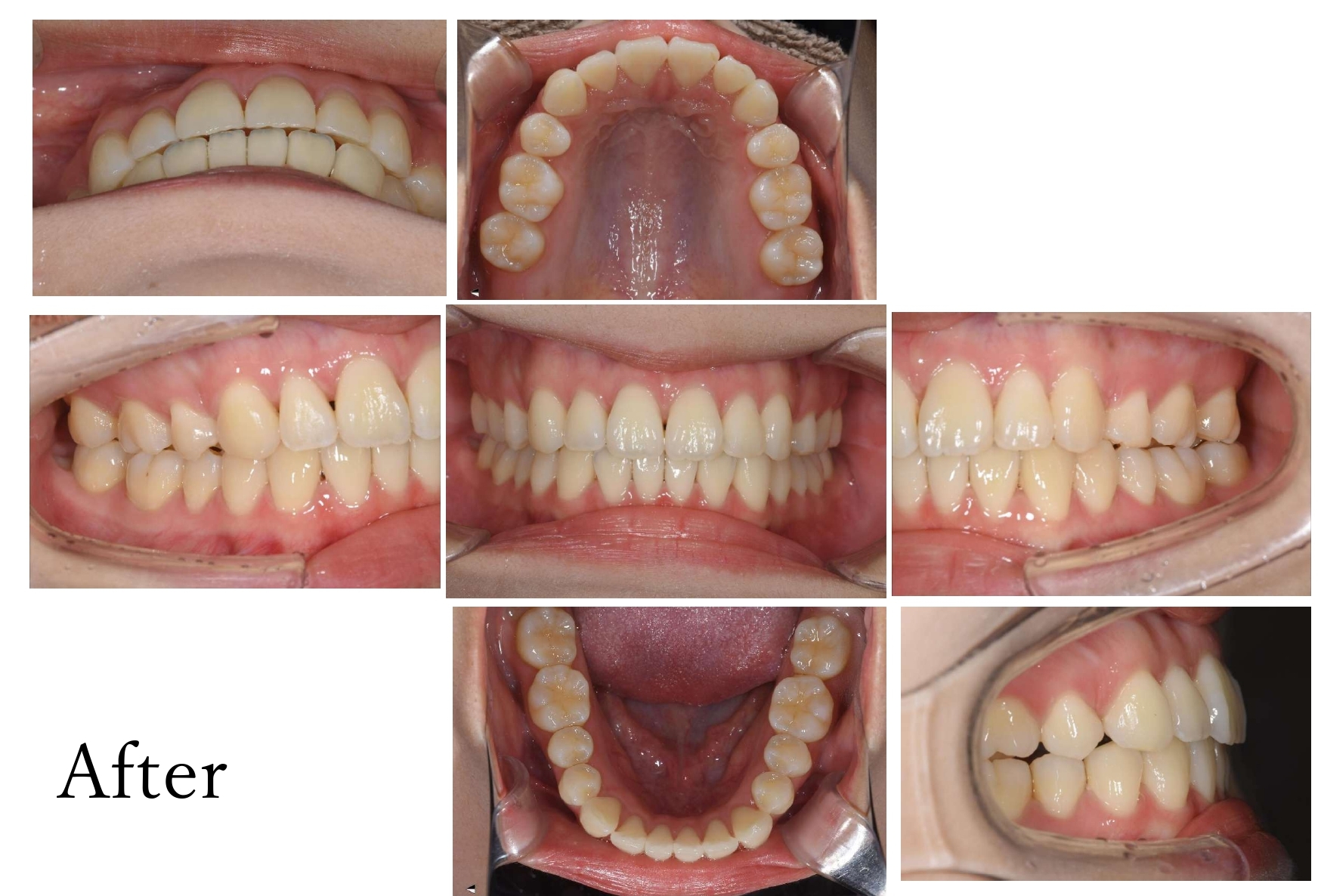
【症例】矯正治療患者:20代女性


●治療内容
インビザライン、追加アライナー、ビベラ
●治療期間・回数
約1年11か月、30回~35回
●費用
R3.1.19 矯正診査 ¥1,650
抜歯 ¥6,720
R3.2.5 インビザラインフル ¥880,000
(アライナー枚数:28枚)
(来院回数28回)
R4.5.23 追加アライナー ¥25,000
(アライナー枚数15枚)
(来院回数11回)
R4.12.20 ビベラ ¥44,000
※保険メンテナンス¥21,490
合計:¥978,860●リスク・副作用
装着後の歯の痛み、違和感、口内炎、虫歯リスク、歯根吸収、後戻り


-
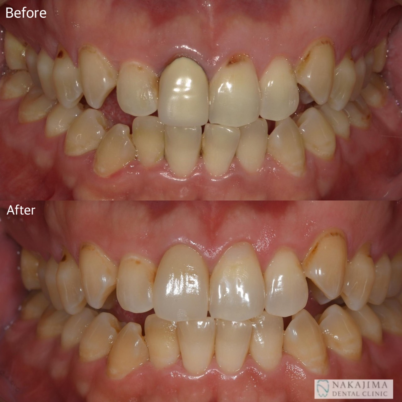
【症例】ジルコニアボンド患者:40代男性

●治療内容
右上①
他院で治療したクラウン周りの黒ずみ(メタルタトゥー)が気になる●治療期間・回数
約8か月 [来院時回数:4回]
●費用
¥153,350(自費¥151,250 保険¥2,100)
R7.3.2 初診資料撮り ¥2,100(保険)
R7.4.12 右上① クラウンoff
Tec作製(Tec代¥1,650
※現在は¥2,200)
R7.10.11 右上①メタルコアOff
CRコア(ファイバーポストコア)たてる
(ファイバーポストコア¥6,600)
ジルコニアボンドの形成、印象
R7.11.8 ジルコニアボンドSet
(ジルコニアボンド¥143,000)●リスク・副作用
装着後の歯の痛み、違和感、口内炎、虫歯リスク、歯根吸収、後戻り

-
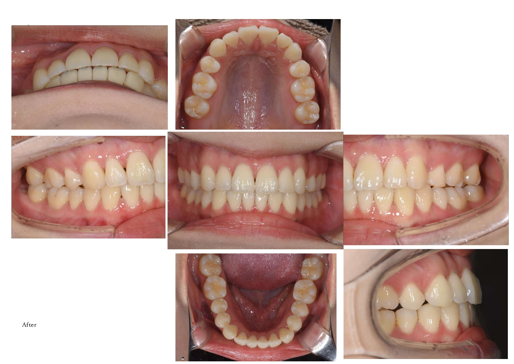
【症例】矯正治療患者:10代女性


●治療内容
インビザライン、追加アライナー、ビベラ
●治療期間・回数
約1年1か月、8回
●費用
R7.01.04矯正診査 ¥5,500R7.03.15クリンチェック ¥440,000R7.03.31アライナーset ¥440,000(アライナー枚数:23枚)R8.01.21ビベラ ¥44,000
※他院で保険メンテナンス中のため、¥0
合計:¥929,500
●リスク・副作用
装着後の歯の痛み、違和感、口内炎、虫歯リスク、歯根吸収、後戻り



WEB予約